Inflamación cerebral en la depresión
8 de abril de 2020
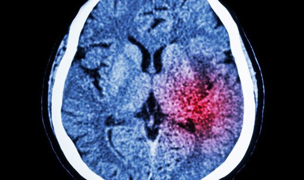
Un artículo publicado por el grupo de investigación de Jeff Meyer en 2018, del Centro para la Adicción y Salud Mental (CAMH) de Canadá, demuestra que una depresión de larga duración se vincula con inflamación y cambios estructurales del cerebro. Alteraciones similares también se pueden observar en enfermedades degenerativas, como Alzheimer y Parkinson.
El estudio consistió en analizar imágenes del cerebro midiendo la inflamación, utilizando la tomografía por emisión de positrones (PET). El estudio tiene en cuenta tanto la duración de la depresión como si el paciente estaba o no en tratamiento.
Los resultados demostraron que las personas con depresión de larga duración, con períodos sin tratamiento, tienen una inflamación cerebral
mayor que aquellas que sufren una depresión de corta duración. Igualmente, aquellos que habían sufrido depresión de más larga duración presentaron mayores cambios estructurales del cerebro.
La investigación, también, demostró que si la depresión se trata a medida que avanza se disminuye la inflamación y la alteración estructural del cerebro. Y recomiendan por ello, que hay que actuar de manera rápida frente a la depresión para evitar que todos estos cambios se produzcan a nivel cerebral.
En opinión del Dr. Carbonell, este artículo basado en neuroimagen demuestra, una vez más, la importancia de que se trate la depresión como una seria enfermedad. Precisa de identificarla lo antes posible para poder tratarla de manera rápida.

Imagen del cerebro. Extraída del estudio realizado por Jeff Meyer

El Dr. José Carbonell, médico y psiquiatra, aborda el tema de las relaciones secretas. Explica que mantener una relación en secreto puede ser válido y funcional si es una decisión mutua , tomada para evitar interferencias externas mientras la relación se consolida. Sin embargo, si es uno de los dos quien impone el secreto , esto puede ser señal de que no quiere validar la relación públicamente, tiene algo que ocultar o no está comprometido del todo. En esos casos, el secreto sostenido en el tiempo puede dañar la relación , generar frustración y, eventualmente, hacer que la persona que ha sido ocultada pierda el interés o la confianza. La clave, según el doctor, está en la transparencia, el acuerdo mutuo y el respeto , ya que las relaciones necesitan validación y espacio para crecer de forma sana.

El Dr. José Carbonell, médico y psiquiatra, reflexiona sobre el miedo que muchas personas sienten al tomar decisiones, ya sea por las que tomaron en el pasado o las que deben enfrentar en el futuro. Explica que es natural tener inseguridad e incertidumbre, pero que vivir en la duda constante o en el arrepentimiento solo genera malestar . Aconseja no juzgar con dureza las decisiones pasadas, sino verlas como parte del aprendizaje vital , y recuerda que nadie puede garantizar que una decisión futura será perfecta . Por eso, recomienda vivir las decisiones plenamente , disfrutando del presente, y una vez que se elige un camino, avanzar sin culpas . El mensaje central es claro: las decisiones forman parte del crecimiento personal , y lo más importante no es acertar siempre, sino actuar con convicción y aprender en el proceso .

Vivimos en un mundo marcado por la rapidez y la necesidad de lo inmediato. La problemática radica en que no siempre obtenemos una respuesta instantánea ante una situación, lo que puede generar ansiedad, preocupación o malestar emocional. Como mecanismos de defensa, ante estas situaciones, la mente suele anticipar escenarios negativos o buscar explicaciones inmediatas para reducir esa ansiedad. Desde la psicología se ha estudiado este problema para analizar la reacción ante lo desconocido y la dificultad para tolerar la incertidumbre. Los investigadores Michel Dugas y Kristin Buhr (2009), identificaron este concepto como un factor relacionado con la preocupación crónica y la ansiedad. Posteriormente, el psicólogo R. Nicholas Carleton, publicó en Expert Review of Neurotherapeutics (2012) y en Journal of Anxiety Disorders (2016), su relación con la depresión y el trastorno obsesivo compulsivo, considerando el miedo a lo desconocido, como uno de los principales miedos que tenemos las personas. Asimismo, la psicóloga María Bernardo explica que aprender a reconocer esa incomodidad es el primer paso para gestionarla. También recomienda diferenciar aquello que podemos controlar de lo que no depende de nosotros y retrasar unos minutos la necesidad de buscar respuestas inmediatas. Para reducir esa sensación de incertidumbre, el cerebro suele buscar alivio inmediato. Algunas personas sacan conclusiones rápidas, otras necesitan pedir constantemente opinión a los demás y muchas recurren al móvil como forma de distracción. De hecho, investigaciones recientes relacionan la intolerancia a la incertidumbre con un uso problemático del smartphone. Aceptar que no podemos tener certeza absoluta sobre todo puede ayudarnos a reducir la ansiedad. En una sociedad marcada por la inmediatez y la sobreinformación, aprender a convivir con la incertidumbre se ha convertido en una habilidad cada vez más importante. En opinión del Dr. Carbonell, no hay que vivir con esa necesidad de lo inmediato, sino disfrutar y descubrir los procesos que nos llevan a conseguir las metas y objetivos.

